Services

Consult

Dr Jon and Dr Irene use their years of experience for a conservative and practical approach for your pet. Dr Irene is a member of Small Animal Medicine by examination so very capable for complex medicine cases. We have all the latest medicines and technology in the hospital for your pet.

Book Appointment

Surgery

Dr Jon and Dr Irene have vast experience in surgery. During the surgery your pet is monitored by another vet or vet nurse. We have all the latest equipment that monitors breathing, temperature, heart rate, blood pressure , ECG , C02 and oxygen levels.

Surgeries are done Monday to Friday with an admit time before 11 am.

Book Appointment

Vaccines

We do a full clinical examination during your pet’s vaccine and we can discuss any concerns you may have and point out conditions to be aware of.

Dogs -C5 Distemper, Parvovirus, Hepatitis and Kennel cough
Dogs – Leptospirosis
Heartworm and Bravecto injection for dogs

Early finish Puppy vaccine at 10 weeks – We use Nobivac that means your new puppy receives their second C5 vaccine at 10 weeks and can go out to socialise 1 week later. This ensure good socialisation.

Cats -F3 Herpes virus, Calici virus and Panleucopaenia virus

Book Appointment

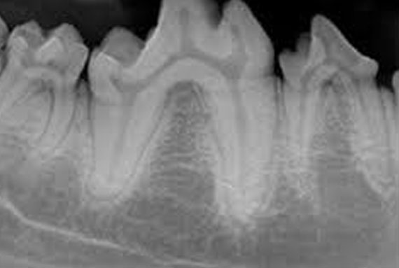
Dental

Dental radiographs and probing allow us to identify if any teeth need extracting. Our dental xrays are digital meaning a quick turnaround to view saving your pet anaesthetic time. We also use a Vet Tome machine that greatly reduces extraction time and saves bone. Our dental machine is similar to the one your dentist uses ensuring an optimal scale and polish is done.

Book Appointment

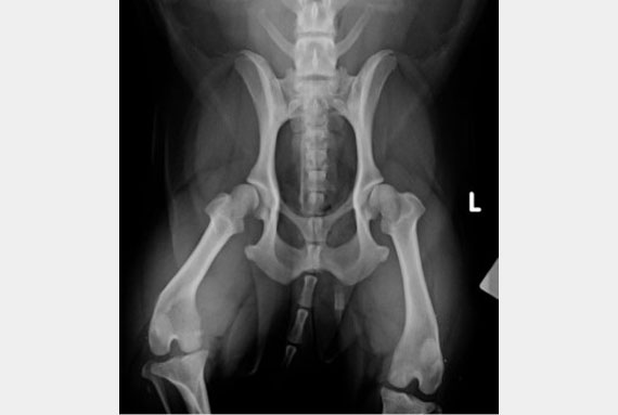
Radiology

We have a digital x-ray for your pet’s body. Digital x- ray allows quick turnaround to see images resulting in less sedation or GA time. The image quality is superior to ensure accurate interpretation.

Book Appointment

Ultrasound

Dr Irene has done many courses on Ultrasound and has vast experience. She also visits other vet practices to do their ultrasounds.

Book Appointment

Laser

We have recently bought Laser to help pets with arthritis , wounds and other conditions.

Class 4 laser therapy works by using light to stimulate cellular activity and promote healing, primarily through photo biomodulation, which enhances blood flow, reduces inflammation, stimulates the release of natural painkillers and improves healing.

Book Appointment

Inhouse Laboratory

We have an inhouse blood laboratory analysis. This means we can get blood results within 3 hours or if urgent within 30 minutes. An added benefit of our inhouse blood tests is the cost is vastly reduced. In addition, we have a urine analyser.

Our Vcheck analyser can help point-of-care testing for various biomarkers such as cardiac, inflammation, hormones and pancreatitis.

Book Appointment

Specialist Surgery

Orthopaedic, Oncology and Soft tissue Surgery

Whilst a wide range of general surgery can be done by GP vets, there are many surgical conditions that are best left to Surgical Specialists which will result in a more favourable outcome. We use https://animalspecialists.com.au/ who do the surgery at our clinic

Book Appointment

Euthanasia

Your pet will need you to make that decision for them. It is a very emotional and traumatic event for you but often is a relief for your pet. We can try and guide you on when the time is right to be considering euthanasia.

Book Appointment

Save 5% On Pet Supplies

Vets Love Pets is our online pet store. It’s a fully Australian-owned.

All you need to do is click here and create an account when you make a purchase for 5% off.

Order here

Emergencies or Gravely Ill Pet

For any emergencies during the day or night please go directly to